• Douleur de l'epauleOpérations traitements chirurgie
  • Douleur du poignet et de la main - Canal carpien
  • Opération du poignet et de la main
  • Douleur et opération de l'épaule
  • Douleur et opération du coude
  • Douleur et opération de la cheville
  • Douleur et opération du genou
1 2 3 4 5 6 7

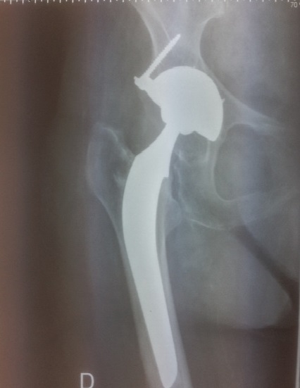
Dr Cottias - Opération / hanche Fracture du col fémoral : Ostéosynthèse et prothèse de hanche

 

Fracture du col fémoral : Ostéosynthèse et prothèse de hanche

Description :

La hanche est l’articulation qui relie le bassin à la cuisse. Elle supporte le poids du corps et permet la marche. Elle est constituée par l’os de la cuisse, le fémur, dont la tête vient coulisser dans la cavité du bassin, le cotyle. Les surfaces de ces deux os sont recouvertes d’un cartilage qui permet un glissement facile et sans douleur.

L’articulation est entourée d'une enveloppe de tissu fibreux, la capsule, renforcée par des ligaments et recouverte à l'intérieur d'une très fine membrane : la synoviale qui produit un liquide, le liquide synovial. Ce liquide sert de lubrifiant et réduit le frottement et l'usure de l'articulation.

Cette structure osseuse de l’extrémité supérieure du fémur peut se fracturer à l’occasion d’un traumatisme plus ou moins violent (chute de sa hauteur) ou spontanément dans un contexte d’ostéoporose ou de tumeurs (kyste osseux bénin ou localisation d’une métastase d’un cancer).

 

Cette pathologie est fréquente (11 cas pour 1000 habitants de 75 à 84 ans et 33 cas pour 1000 après 85 ans, 1 ère cause d’hospitalisation pour fracture) et est en augmentation du fait du vieillissement de la population (50 000 fractures du col, augmentation prévue en 2015 de +20% en nombre de cas).

 

Symptômes :

 

La douleur se situe dans l’aine et peut irradier jusque dans le genou et même le rachis. L’impotence fonctionnelle stricte est immédiate ou progressive (fracture en deux temps sur terrain ostéoporotique). 

 

Diagnostic :

 

L’interrogatoire du patient sur les circonstances de la chute, la douleur, la mobilisation douloureuse (impossibilité) et la déformation (raccourcissement, adduction et rotation externe) permettront d’évoquer le diagnostic clinique. Il sera important d’évaluer l’autonomie du patient par le score de Parker qui aidera à évaluer un pronostic post opératoire (règle des 3) et des risques de complications (Score < à 4).

 

C’est le bilan radiologique standard qui affirmera le diagnostic et le type de fracture (fracture sous-capitale : classification de Garden ou trochantérienne : classification de l’AO). En cas de douleurs persistantes avec radiographies normales, il faudra refaire une radiographie quelques jours plus tard, une IRM ou une scintigraphie osseuse pour exclure ou affirmer une fracture infra radiologique.

 

Traitement :

Un traitement médical doit lutter contre les douleurs et les complications de décubitus (pré et post opératoires) : coussins anti-escarres, traction collée ou trans-tibiale, anticoagulants… Mais le plus important est d’opérer le patient dans les premières 48 heures, sauf cas particuliers (problèmes vitaux ou allergie nickel).

 

La chirurgie est réalisée sous anesthésie générale ou locorégionale et dure entre 1h et 2h ou plus en cas de fracture compliquée (prothèse sur mesure ou fracture bifocale…).

 

Une incision est réalisée à la face antérieure, externe ou postérieure de la hanche et de taille adaptée selon les cas (entre 8 à 20 cm), éventuellement sur table orthopédique (traction au pied ou fémorale). Une ostéosynthèse (vis, vis plaque, clou-plaque, clou centromédullaire avec vis cervicale) est réalisée pour les cas de fracture sous capitale non déplacée et avec un capital osseux suffisant ou les fractures per-trochantériennes. Une prothèse de hanche totale, à cupule mobile ou cervico-céphalique est posée pour les fractures sous capitales à risque de nécrose ou certaines fractures basi-cervicales ou autres en cas de coxarthrose associée.

A la fin de l’intervention, un drain (redon) permettant d’évacuer l’hématome peut être laissé en place.

 

Evolution :

Le lever et l’appui sur le membre sont autorisés au cours des 48 heures, sauf cas particulier (os fragilisé ou en cas d’impossibilité physique). Les douleurs post-opératoires seront calmées par un traitement adapté. La rééducation de la hanche se fait essentiellement par la reprise de la marche. Certains mouvements particuliers seront à éviter et ils seront indiqués par le chirurgien ou le kinésithérapeute en cas d’arthroplastie.

Afin d’éviter les phlébites, un traitement anticoagulant est prescrit pendant plusieurs semaines. Des bas de contentions sont prescrits également.

 

Après quelques jours d’hospitalisation, la sortie sera autorisée après contrôle radiologique pour vérifier la bonne position de la prothèse. La marche en général n’est plus douloureuse sauf en cas d’ostéosynthèse. Une rééducation de la marche et des postures sera poursuivie soit à domicile avec un kinésithérapeute soit en centre de rééducation.

La marche est protégée par des béquilles pendant environ 10 jours, et un délai de 4 à 8 semaines sera nécessaire pour retrouver une bonne autonomie.

 

Complications :

Les plus fréquentes :

La phlébite peut survenir en dépit du traitement anticoagulant. Il s’agit d’un ou plusieurs caillots qui se forment dans les veines des membres inférieurs ; ces caillots peuvent migrer et entraîner une embolie pulmonaire. La gravité potentielle des embolies pulmonaires explique l’importance accordée à la prévention des phlébites. Cette prévention est basée essentiellement sur le traitement anticoagulant et sur la prescription en post opératoire de bas de contention.

L’hématome post-opératoire (poche de sang) est rarement gênant et nécessite exceptionnellement une évacuation. Il peut s’avérer nécessaire d’envisager une transfusion de sang en per ou en post-opératoire. De nos jours, les produits sanguins comme les greffes osseuses subissent de très nombreux et très rigoureux tests destinés à prévenir la transmission de certaines maladies comme le sida ou l’hépatite.

L’inégalité des membres inférieurs : elle n’est pas préoccupante au dessous de 15 mm. Malgré les mesures pré et per opératoires, il n’est pas toujours possible ni souhaitable de rechercher l’égalité de longueur des membres inférieurs car un raccourcissement du côté opéré provoque une faiblesse des muscles fessiers ainsi qu’une instabilité de la prothèse qui peut entraîner une luxation.

 

Plus rarement :

La luxation : Le déboîtement de la prothèse est possible en particulier dans les premières semaines car l’intervention a supprimé la raideur et les douleurs préopératoires. Ainsi, des mouvements extrêmes peuvent être réalisés sans s’en rendre compte. Votre chirurgien et votre kinésithérapeute vous expliqueront les mouvements dangereux à éviter.

L’infection est une complication rare mais grave. Ce risque est minimisé par les précautions préopératoires qui visent à rechercher et traiter tout foyer infectieux méconnu (dentaire et urinaire surtout) et à s’assurer le jour de l’opération que la peau est impeccable. Des antibiotiques vous seront administrés à titre préventif durant l’intervention. L’infection peut survenir même très longtemps après la chirurgie par contamination à partir d’une infection à distance. Une infection de la prothèse conduit le plus souvent à une nouvelle chirurgie. Pour prévenir une infection tardive, il faudra donc traiter les infections toute votre vie et prendre bien soin de votre peau en évitant toute plaie qui constituerait une porte d’entrée pour les bactéries. Il est fortement déconseillé de fumer ou de consommer des substances réprimandées, pendant la période de cicatrisation, le tabagisme augmentant de manière significative le taux d’infection.

 

Beaucoup plus rarement sont observées ces complications :

Un démontage de l’ostéosynthèse nécessitant une reprise.

Une fracture per opératoire du fémur, pouvant nécessiter un geste chirurgical complémentaire.

La paralysie per opératoire du nerf crural ou sciatique, liée souvent à une traction lors des manipulations, elle récupère généralement en quelques mois. Exceptionnellement, une atteinte plus sévère peut être observée, justifiant un appareillage spécifique ou une nouvelle intervention.

Des ossifications péri-articulaires : dans les semaines qui suivent l’intervention, de l’os se forme autour de l’articulation pour une raison inconnue et peut provoquer une raideur.

Un descellement de la prothèse peut se produire sur le long terme. C’est à dire que la prothèse peut tenir moins bien dans l’os et provoquer des douleurs. Ces descellements tardifs ont plusieurs causes possibles. Ils peuvent être mécaniques et liés à une pratique trop violente et intensive d’une activité physique ; ils peuvent être liés à une réaction de l’organisme aux débris d’usure de la prothèse ; ils peuvent être liés à une infection de la prothèse.

Autres : syndrome de loge, plaie artério-veineuse, pyoderma gangrenosum…

 

Mots-Clefs :

Fracture du col fémoral - Fracture per trochantérienne - Prothèse totale de hanche - Clou fémoral - Clou gamma - Vis plaque - 0stéoporose -  Luxation

 

 

PHOTOS :
 
Documents
Aucun.
 
 
 
 

Version française    English version
 

Retrouvez le Docteur Cottias sur :

Demande de rendez-vous pour téléconsultation par Email : dr.pcottias@gmail.com
 
    Les opérations
 

L'épaule

Le coude

Le poignet

La main

les doigts

La hanche

Le genou

La cheville

Le pied

 

 
 
 
Docteur Pascal Cottias.
>> Rendez vous Public à Cochin (75014 PARIS): 01 58 41 30 41 (secrétariat : Rachida Rahal - rachida.rahal@aphp.fr)
>> Rendez vous en Privée : Pôle Santé de L'Ermitage
77190 Dammarie les Lys ou Clinique Rémusat, 21 rue Rémusat 75016 Paris :
06 41 04 27 60 (secrétariat commun)
>> Centre Medical International : 01 43 17 22 11
Adresses :
♦ CHU Cochin, 27 rue du faubourg Saint-Jacques, 75014 Paris
♦ Pôle Santé de L'Ermitage, 230 rue Pierre Curie, 77190 Dammarie les Lys
♦ Clinique Rémusat, 21 rue Rémusat, 75016 Paris
♦ C.M.I., 38 quai de Jemmapes, 75010 Paris